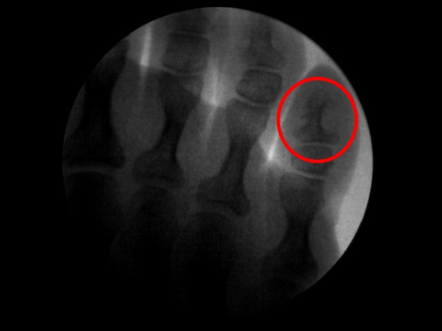
Los molestos y dolorosos «ojos de gallo» que suelen aparecer en los pies entre los dedos y/o encima de los mismos tiene solución definitiva y consiste en realizar una microcirugía local para el pulido del hueso que está generando dicha patología en la piel. Lo que ocurre generalmente es que la forma picuda que tienen las falanges (huesos de los dedos), generan junto con la rotación de algún dedo implicado y el calzado estrecho una presión constante en la zona y ello da lugar a un endurecimiento de la piel que finalmente se convierte en un callo circular siendo muy doloroso en ciertas zonas debido a la opresión que soporta.

En un principio el dolor puede cesar limpiando bien la zona y eliminando ese «callo» que genera el dolor pero éste vuelve a aparecer al poco tiempo de ser quitado porque el mecanismo que lo provoca está en el interior y no en el exterior donde se presenta. Por ello, para dar solución definitiva a ese «ojo de gallo» hay que trabajar desde el interior abordando el hueso implicado en el proceso.
La intervención es muy corta y sencilla, bajo anestesia local de la zona a intervenir y mediante cortes milimétricos podemos acceder a la zona picuda del hueso implicado y pulirlo eliminando así el pico óseo que genera presión sobre la piel afectada. Al tratarse de microcirugía no requiere de puntos de sutura en piel, el sangrado es mínimo y la recuperación inmediata.
Con este pequeño procedimiento aseguramos la desaparición definitiva del «ojo de gallo» ya que se deja el hueso totalmente romo para que no provoque ese efecto punzante que provoca la alteración en la piel.
Cabe nombrar que ciertos «ojos de gallo» localizados a nivel plantar del pie son debidos a una «mala marcha o caminar» que provoca una presión constante en esa zona que provoca ese «callo» duro y doloroso. En el caso de patología plantar se recomienda estudio biomecánico que determine la dinámica de la marcha así como la alineación de los huesos implicados en ella porque en ocasiones, el remedio está en la implantación de plantillas personalizadas que realizamos de descarga puntual en esas zonas que reduzcan la presión local hasta hacerla desaparecer.
En ESPodología somos especialistas en la salud de sus pies, consúltenos sin compromiso su caso y daremos la mejor solución posible. Atendemos a público de todas las edades tratando cualquier patología infantil, deportiva y del pie adulto. Una buena salud empieza por unos pies sanos.
[intense_person template=»left» image=»574″ imageshadow=»4″ size=»medium» name=»Estefanía Soriano Pellicer » title=»Podólogo – Col nº 2668″]
ESPodología Clínica Podológica
C/ Duc Alfons el Vell nº18-2º-pta7
46701 Gandía (Valencia)
Cita Previa: 96 286 55 52 / 644 24 48 78
www.espodologia.es || info@espodologia.es
[/intense_person]










0 comentarios